
Специалисты Центра искусственного интеллекта и цифровой экономики Ярославского государственного университета имени П. Г. Демидова (ЯрГУ) научили нейронную сеть диагностировать скрытые очаги воспаления и полипы в кишечнике при обследовании пациентов методом колоноскопии. Умная программа поможет врачам выявлять и устранять источники заболеваний на ранних этапах. Разработка — результат работы ученых по стратегическому проекту ЯрГУ «Цифровой регион» в программе Минобрнауки «Приоритет 2030».

Специалисты Демидовского университета проанализировали результаты обследования более чем 500 пациентов, подготовили и экспертно разметили базу видеоданных, разработали алгоритм детектирования полипов, а медики проверили точность проведенной разметки. На собственном суперкомпьютере вуза исследователи ЯрГУ обучили нейросеть алгоритмам обнаружения полипов в полости кишечника во время колоноскопии. Нейросеть уже протестировали в сети клиник Ярославля. Согласно данным исследования, программа имеет точность до 90%, в будущем ее будут использовать в российских больницах.

Проведение исследования врачами-эндоскопистами, на котором алгоритм искусственного интеллекта отмечает патологии в режиме онлайн

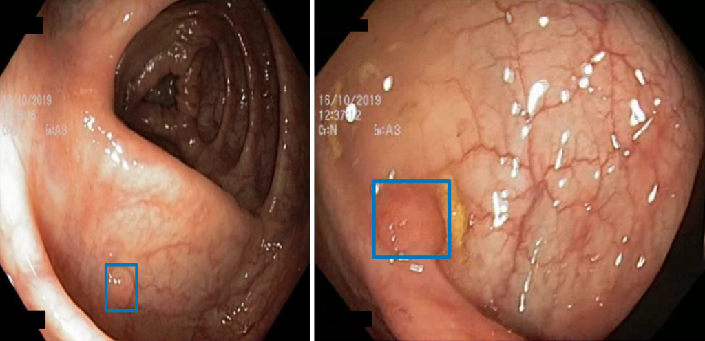
Нейросеть обнаружила и отметила полипы на стенке кишечника
Разработка исследователей Демидовского университета — важный шаг как в развитии отечественной науки и технологий, так и в направлении импортозамещения и укрепления независимости российской экономики от внешних рынков.
Сейчас в мире создано много эффективных проектов с внедрением нейронных сетей в медицину. Пока этот процесс идет медленно: требуется больше данных, чтобы приобрести уверенность в высокой эффективности нейросетей и отсутствии ошибок. Тем не менее их возможности очень велики уже сейчас. В перспективе нейросети сделают диагностику более быстрой и эффективной, а мониторинг заболеваний во многих случаях будет возможен в домашних условиях. Исследования ученых ЯрГУ по программе «Приоритет 2030» приближают нас к такому моменту.